ABOUT
Our Team
Our Cases
Technology
Blog
Canadian Dental Care Plan
We are Accepting New Patients
Saturday Dentist Coquitlam
IFHP insurance
Child NP Form
SERVICES
General Dentistry
Cleanings and Exams
Emergency Dentist
Root Canal Treatment
Wisdom Tooth Removal
Tooth Extractions
Kids Dentistry
Restorative Dentistry
Porcelain Crowns
Dental Bridges
Dentures (Partial & Complete)
White Tooth Fillings
Same-Day CEREC Crown
Cosmetic Dentistry
Dental Veneers
Teeth Whitening
Botox Treatment
Orthodontics
Invisalign Clear Aligners
Periodontics
Periodontal Treatment
Crown Lengthening
Dental Appliances
TMJ / Bruxism Night Guard
Sports Guard
Solea Laser
SMILE MAKEOVER
GALLERY
CONTACT US
3030 Lincoln Ave #121,
Coquitlam, BC V3B 6B4, Canada
(604) 552-9500
Call for emergency
Book Online
3030 Lincoln Ave #121, Coquitlam, BC V3B 6B4
(604) 552-9500
Book Online
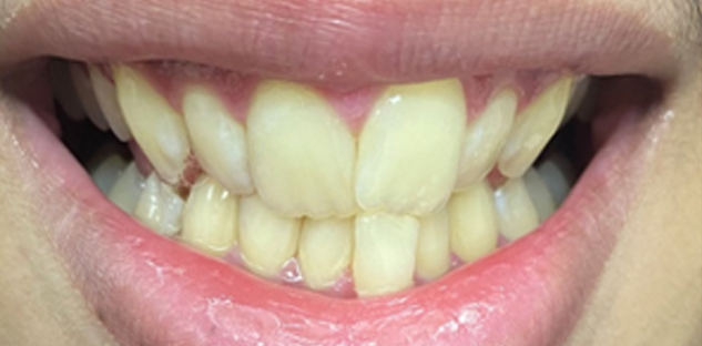
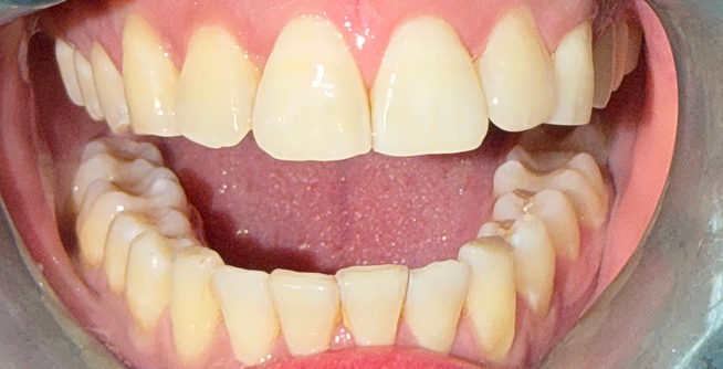
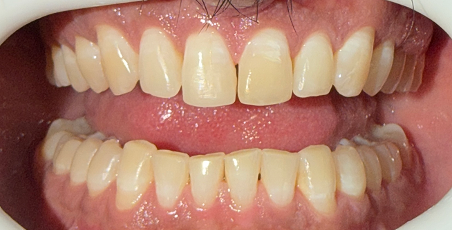
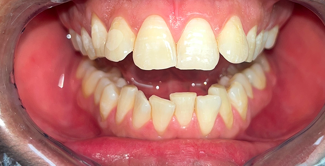
Our Cases
Invisalign
Teeth Whitening
Dental Implants
Veneers
Dental Bridges
Smile Makeover
SCHEDULE
ONLINE
604-670-2570